1. Cierre cancelado
    He reescrito esta nota 10 veces porque las palabras no son lo mío y no se explicar la montaña rusa de emociones por la que estoy pasando.

    Por ahora se cancela el cierre. Siento las molestias.
    No voy a entrar a valorar los comentarios de algunas personas, cada uno es libre de opinar lo que quiera (siempre desde el respeto). Solo quería comentar, que la noticia de cierre no fue una cosa pensada en dos días sino en bastantes meses y llegó un momento en que era insostenible.
    También les quiero dar la razón aquellos que se quejan del abandono que sufría la web. Si, tenéis razón y es culpa exclusivamente mía.
    Y por último, esta situación cancela gracias a las múltiples personas que se han puesto en contacto conmigo insistiendo en revertir este cierre. Gracias.

    Gracias otra vez a todos.
    PD. Según tenga noticias las iré comentando de este modo.
  2. Tras 22 años de funcionamiento y muchas vivencias, lamentablemente, ha llegado el momento de decir adiós. Lo que empezó siendo un pequeño foro de "backup" de la web que muchos solíamos visitar, Solomountainbike, se convirtió en una web de referencia del ciclismo en general donde se compartían rutas, vivencias, fotos, kdds, etc.

    Gracias a todos los que contribuisteis moderando secciones, participando en los post, compartiendo vuestras aventuras y en general, haciéndonos participes de vuestras rutas en bicicleta.

    Ha sido un verdadero placer. Nos seguiremos viendo en los caminos/carreteras/watopia o donde sea siempre que se pueda ir en bici :)

    Un saludo

    PD. El cierre será el 5 de Abril de 2026.
    PD2. Actualización: Será el 15 de Abril y quizás se pueda revertir.
    PD3. He quitado toda la publicidad que, sinceramente, era excesiva.
    Descartar aviso

...ENDHUGATS...

Tema en 'Cataluña/Catalunya' iniciado por noe53, 23 Jun 2009.

?

este fin de semana

La encuesta se cerrará el 13 Sep 2009.
  1. salimos el sabado

    6 voto(s)
    66,7%
  2. salimos el domingo

    3 voto(s)
    33,3%
  1. karmaikel

    karmaikel Miembro Reconocido

    Registrado:
    22 Abr 2008
    Mensajes:
    2.058
    Me Gusta recibidos:
    58
    Como os va para el sábado?
    anímate Xavi que les has dado clases a todos menos a mi
     
  2. karmaikel

    karmaikel Miembro Reconocido

    Registrado:
    22 Abr 2008
    Mensajes:
    2.058
    Me Gusta recibidos:
    58
    Por cierto,mañana por la mañana temprano voy a salir,si alguien se anima ya sabe
     
  3. tigreton_19

    tigreton_19 El Pupas

    Registrado:
    30 Ago 2008
    Mensajes:
    2.060
    Me Gusta recibidos:
    143
    Ubicación:
    Sabadell
    Bueno compañeros Gatunos, aunque estoy un poco desconectado del foro me voy poniendo al dia de vez en cuando, que paseis buenas vacaciones y que se recuperen los lesionados pronto, a ve si quedamos un dia que la giant desde la diferent no ha visto la luz del sol jejejejejeje.ç

    PD: Vendo pegatinas de Vinilo 7 años a buen precio para el que se las quiten.
     
  4. QWERT4664

    QWERT4664 Miembro activo

    Registrado:
    18 Dic 2009
    Mensajes:
    1.442
    Me Gusta recibidos:
    3
    Ubicación:
    BARCELONA
    Clases?...yo solo os transmito lo mismo que me decia el monitor...
    Todo se basa en 4 cosas faciles, lo dificil es hacerlas a la vez, y cuando hay mucha pendiente ya es imposible.

    A veces cuando veo un video pienso: como bajamos!!!! Pero luego pones uno de cualquier Pro y vuelves a poner los pies en el suelo....cuanta diferencia!!!!!!

    En fin....
     
  5. karmaikel

    karmaikel Miembro Reconocido

    Registrado:
    22 Abr 2008
    Mensajes:
    2.058
    Me Gusta recibidos:
    58
    Sábado a los Angles o vallnord o lo que os salga de las pelotas?
     
  6. QWERT4664

    QWERT4664 Miembro activo

    Registrado:
    18 Dic 2009
    Mensajes:
    1.442
    Me Gusta recibidos:
    3
    Ubicación:
    BARCELONA
    Si vais a Andorra, sea cualquier bikepark subiria directo.
    Si vais a Les Angles me queda muy lejos...
    Pero decir alguna cosa, concretar please....
     
  7. toretto

    toretto "Howling Mad"

    Registrado:
    10 Nov 2008
    Mensajes:
    1.417
    Me Gusta recibidos:
    24
    Ubicación:
    aullando a la luna...
    A mi me iria bien el domingo para ir todos juntos pero..... Sino el lunes o el martes vamos me va bien cualquier dia menos el sabado sergio mon amoud que caro eres de ver ya no me amas
     
  8. QWERT4664

    QWERT4664 Miembro activo

    Registrado:
    18 Dic 2009
    Mensajes:
    1.442
    Me Gusta recibidos:
    3
    Ubicación:
    BARCELONA
    Toreto, si subo este sabado, posiblemente si subis martes a Andorra me apuntaria.
    Saliendo desde donde estoy, Ponts y Andorra.
    Si subimos espero que estes mas calmado...fiera!!!!
     
  9. toretto

    toretto "Howling Mad"

    Registrado:
    10 Nov 2008
    Mensajes:
    1.417
    Me Gusta recibidos:
    24
    Ubicación:
    aullando a la luna...
    Pues viendo ke karmaikel ya no me quiere o me tiene miedo en principiolo dejamos para el martes si la parienta no me dice lo contrario el niño y yo ya estariamos alli
     
  10. karmaikel

    karmaikel Miembro Reconocido

    Registrado:
    22 Abr 2008
    Mensajes:
    2.058
    Me Gusta recibidos:
    58
    Vamos a ver,yo puse el sábado porque deciais que el domingo era muy heavy porque el lunes hay curro...total que el día me da lo mismo...por ti pechito,me adapto los dias que hagan falta
    Ahora me direis que el martes,y yo el martes no estoy.
    Lo que sea,pero a ver si se apunta la peña.
    Tu Xavi,puedes el domingo?
    Me da igual si es vallnord,
     
  11. kuater-rafa

    kuater-rafa Novato

    Registrado:
    22 Jun 2010
    Mensajes:
    312
    Me Gusta recibidos:
    0
    por mi parte ya sabeis que con mis gatos me apunto aun bombardeo pero tal y como tengo el codo prefiero quedarme con las ganas que jodermelo otra vez ademas aun no lo estiro del todo y me duele prefiero estar un poco en reposo y luego estar al 100x100 para poder aguantar vuestros ataques jejeje
     
  12. QWERT4664

    QWERT4664 Miembro activo

    Registrado:
    18 Dic 2009
    Mensajes:
    1.442
    Me Gusta recibidos:
    3
    Ubicación:
    BARCELONA
    Niño? Subes con la famili?
    Yo el martes si subis ire directo, o quedo en Ponts y dejamos un coche alli aparcado...

    Sabado? Karmaikel?
     
  13. karmaikel

    karmaikel Miembro Reconocido

    Registrado:
    22 Abr 2008
    Mensajes:
    2.058
    Me Gusta recibidos:
    58
    El día que digáis Xavi,me da igual,a ver que dice la gente
     
  14. toretto

    toretto "Howling Mad"

    Registrado:
    10 Nov 2008
    Mensajes:
    1.417
    Me Gusta recibidos:
    24
    Ubicación:
    aullando a la luna...
    Que si labuela fuma yo estare en andorra lunes y martrs pero subib el sabado que javulli es el unico dia ke puede y para dentro 15 dias hacemos macrokdda yastais avisaos

    ---------- Mensaje añadido a las 18:22 ---------- El anterior mensaje fue a las 18:21 ----------

    Julito simon mandame tu movil por privado ke lo he perdio mardta tesnolgia
     
  15. karmaikel

    karmaikel Miembro Reconocido

    Registrado:
    22 Abr 2008
    Mensajes:
    2.058
    Me Gusta recibidos:
    58
    No me entero de nada,este Finde puede subir alguien a parte de Xavi y un servidor?
     
  16. joe amr5700

    joe amr5700 no tengo gato!voy en mtb

    Registrado:
    17 Mar 2009
    Mensajes:
    2.329
    Me Gusta recibidos:
    22
    Ubicación:
    entre el puig y la font groga
    hola yo si el martes no curro subo a vallnord!!!

    hoy he dado un paseo por collserola para terminar la bajada que no acabe el otro dia y estoy mas verde que un pepino. eso si el amortiguador cuando he llegado a Can Coll echaba fuego jijiji

    haber cuando pueda le meto un muelle a la burra!!!
     
  17. kuater-rafa

    kuater-rafa Novato

    Registrado:
    22 Jun 2010
    Mensajes:
    312
    Me Gusta recibidos:
    0
    señores lamento mucho deciros que se me acabo la temporada para mi despues de casi dos semanas e ido al **** matasanos me an hecho una placa y tengo fisura en cabeza de radio o sea se en el codo me a dicho que vaya a urgencias para enyesarme como soy asi pos no el martes me voy a alfaz del pi y paso de vacaciones con yeso pero o me cuido o no recuperare toda la movilidad o sea que de momento no hay bici lo movere lo minimo y me acordare lo maximo de vosotros pero la bici ni mirarla vaya ****** ahora que me encontraba bastante bien
    sin nada mas que decir tened cuidado y un abrazo a todos
     
  18. karmaikel

    karmaikel Miembro Reconocido

    Registrado:
    22 Abr 2008
    Mensajes:
    2.058
    Me Gusta recibidos:
    58
    ***** Rafa,otro lesionado,recuperate pronto y sobretodo haz bondad
     
  19. toretto

    toretto "Howling Mad"

    Registrado:
    10 Nov 2008
    Mensajes:
    1.417
    Me Gusta recibidos:
    24
    Ubicación:
    aullando a la luna...
    Nos ha mirao un tuerto hoy bajando de castellar he pisado uncharco de arena y se me ha ido la rueda delantera menudo ostion con protes me hubiese limpiado el polvo del camino pero con lycras se me ha puesto un codo como una bota ahora lo ke mas me ha dolido es la cara de la parienta pobretica mañana cogemos las vacaciones espero que solo sea el golpe
     
  20. noe53

    noe53 Miembro Reconocido

    Registrado:
    9 Nov 2006
    Mensajes:
    5.643
    Me Gusta recibidos:
    55
    Ubicación:
    CERDANYOLA del VALLES
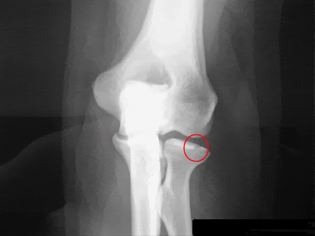
    rafa ya veras como con 2 o 3 semans de yeso lo tienes listo y no necesitas recuperacion apenas
    te dejo una foto de una fisura de radio para que entiendas tu lesion
    [​IMG]
    ya veras que en septiembre estas bajando por vallnord

    animos y recuperate!!
     

Compartir esta página